Saltar al contenido
ORTODONCIA INVISIBLE INVISALIGN BOGOTA
Menú
Cerrar
INICIO
INVISALIGN
ALINEADORES INVISIBLES
RETENEDORES TRANSPARENTES
PLACA BRUXISMO
ESCÁNER INTRAORAL
RESULTADOS
CONTACTENOS
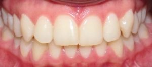
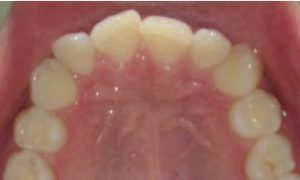
RESULTADOS
Ver Todos Nuestros Planes >
1
WhatsApp
Hola 👏, cómo podemos ayudarte...?
Abrir chat
Powered by
Joinchat